Accessible Version
Quarry Hill Family Dental

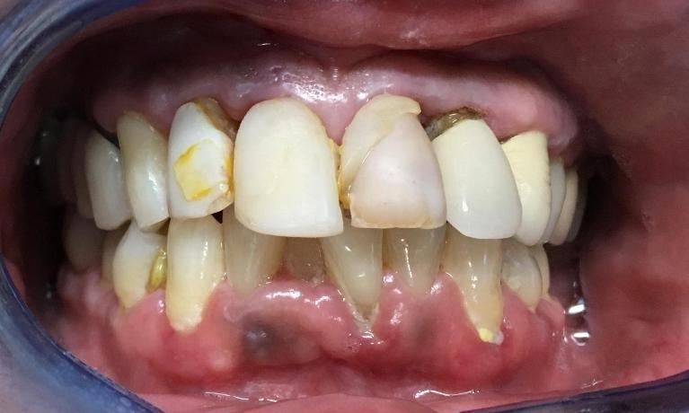
Tooth-Colored Fillings

This patient came to us and wanted Dr. Jarrett to treat his current cavities but also improve his smile. After removing the staining and cavities, Dr. Jarrett used composite material to shape and form his front teeth resulting in a new smile for our patient! Tooth-colored fillings are often an easy way to dramatically improve your smile when your front teeth are chipped, have cavities or staining, or just need small alterations to their shape.

Service Performed By:

Dr. Molly Jarrett
Have Questions? Get in Touch
If you have difficulty using our website, please email us or call us at (507) 216-9891
View the ADA Accessibility Statement