Accessible Version
Quarry Hill Family Dental

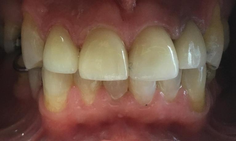
Four Anterior Crowns

Our patient’s front teeth had been worn down and pushed outward over the years. This was caused by not having back teeth to bite on forcing them to only use their front teeth to chew. Dr. Jarrett first made a partial denture which allowed the patient to chew using their back teeth. She then placed crowns on the four top front teeth to provide strength and a new smile!

Related Services:

Crowns and Bridges
Ready to book an appointment?
If you have difficulty using our website, please email us or call us at (507) 216-9891
View the ADA Accessibility Statement
Privacy Policy